Twój komfort i jakość leczenia są naszymi priorytetami. Gabinet Stomatologia Pałyga tworzą najlepsi lekarze, gotowi zadbać o piękno twojego uśmiechu tak, byś raz na zawsze pozbył się strachu przed wizytą u dentysty.
W kompleksowy sposób, bez bólu i gwarancją wyleczenia nawet najtrudniejszych przypadków. Przekonaj się sam!
Bezstresowa atmosfera
zapomnij o strachu przed wizytą
Bez bólu
leczenie przeprowadzane jest zawsze w znieczuleniu miejscowym
Najwyższa jakość
korzystamy z narzędzi i wypełnień najwyższej klasy
Szybko i sprawnie
wiemy, jak bardzo cenisz sobie swój czas
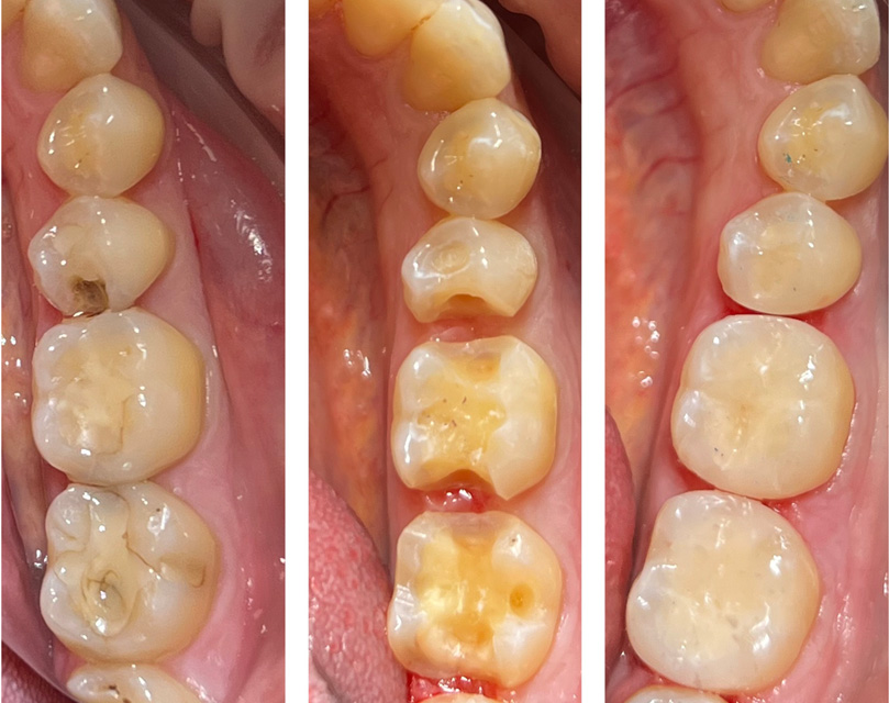
Próchnica jest najczęściej chorobą zębów u osób w każdym wieku. Do jej najczęstszych przyczyn należy nieprawidłowa higiena jamy ustnej oraz spożywanie pokarmów bogatych w cukry. Nieleczona prowadzi do rozwoju bardziej zaawansowanych stanów chorobowych, mogących skutkować nawet utratą objętych nią zębów.
Szybko rozpoczęte leczenie oraz stosowanie się do zaleceń stomatologa pozwala skutecznie ochronić się przed przykrymi skutkami próchnicy. Dzięki stosowaniu wyłącznie najlepszych technik błyskawicznie diagnozujemy każdy przypadek. Podczas odbudowy zęba wykorzystujemy wysokiej klasy materiały światłoutwardzalne, gwarantujące wysoką trwałość na długie lata. Wszystkie zabiegi wykonujemy w znieczuleniu miejscowym całkowicie bezboleśnie. Po to, byś na następną wizytę kontrolną przyszedł do nas bez żadnych obaw i stresu. Leczenie wykonujemy w powiększeniu mikroskopowym.
Skuteczna stomatologia zachowawcza stanowi gwarancję utrzymania zdrowego i zachwycającego uśmiechu. Nasze bogate doświadczenie oraz najnowocześniejsze zaplecze technologiczne pozwalają nam leczyć nawet najtrudniejsze przypadki.
Komfort leczenia
Ubytki w zębach wypełniamy z wykorzystaniem izolacji koferdamem, która zwiększa komfort pacjenta oraz pozwala odizolować leczony ząb od bakterii, znajdujących się w ślinie. Każdy z zabiegów przeprowadzany jest w skutecznym znieczuleniu miejscowym.
Precyzja
Wszystkie prace wykonujemy z wykorzystaniem profesjonalnego mikroskopu zabiegowego – od opracowania ubytku, przez wypełnienie aż do jego wypolerowania.
Pełna satysfakcja
Dogodne i szybkie terminy wizyt, dokładne wytłumaczenie zakresu zabiegu, przyjazna atmosfera i odprężająca poczekalnia. Wszystko po to, by uwolnić cię od stresu.
Naturalna struktura
Odbudowujemy zęby zgodnie z ich anatomią. Dzięki temu wyleczone zęby będą wyglądały w 100% naturalnie.
Estetyka
Gotowe wypełnienia polerujemy sekwencją dwóch unikatowych gumek, dzięki którym uzyskujemy lustrzaną powierzchnię wypełnienia.
Dokładność
Poświęcimy ci tyle czasu, ile będzie potrzeba do całkowitego wyleczenia. Doskonała jakość i piękno twojego uśmiechu stanowi nasz priorytet.
Dzięki szerokiej palecie kolorów wypełnień jesteśmy w stanie odbudować ząb tak, by wyglądał w stu procentach naturalnie. Bogate doświadczenie oraz zdolności naszych lekarzy dają cię gwarancję idealnego efektu estetycznego przy jednoczesnym zachowaniu pełnej funkcjonalności zęba.
Do odbudowy zniszczonych przez próchnicę zębów wykorzystujemy:
Idealny efekt
pełen komfort gwarantują trwałe i estetyczne wypełnienia w Stomatologii Pałyga
Ubytki drugiej klasy (międzyzębowe) odbudowujemy metodą Injection Molted Technique, pozwalającą uzyskać jednolitą, gładką powierzchnię ściany bocznej zęba.
Najgłębsze miejsca ubytku próchnicowego nie są opracowywane wiertłem, a metodą abrazji powietrznej (piaskarką). Dzięki temu ryzyko przypadkowego obnażenia miazgi zębowej zostaje zmniejszone do maksimum, jednocześnie ograniczając ilość zębów wymagających ewentualnego leczenia kanałowego.
Zęby odbudowujemy na specjalnych ultracienkich formówkach sekcyjnych, odtwarzających naturalny profil zęba.
Męczą cię złe doświadczenia z przeszłości? Odwiedź Centrum Stomatologia Pałyga. Nasz zespół każdorazowo dokłada wszelkich starań, by zapewnić ci leczenie, atmosferę i jakość, pozwalające zapomnieć o strachu przed fotelem dentystycznym. I zaufanie naszych zadowolonych pacjentów stanowią tego najlepsze potwierdzenie.
Po wielu latach walki z kompleksami wreszcie odetchnęłam z ulgą. Moja ,,nowa” czwórka wygląda perfekcyjnie, w zasadzie jest nie do odróżnienia od moich naturalnych zębów. Wszystko to w ciągu jednej wizyty. Niesamowicie miły zespół lekarzy, przy którym poczułam się jak w domu. Niezmiernie polecam!
Julia
Profesjonalizm w każdym calu. Potrzebowałem
mostu protetycznego i obawiałem się, że szlifowanie sąsiednich zębów może je osłabić. Na szczęście szybko rozwiano moje wątpliwości i mogę cieszyć się w pełni estetyczną pracą :) Prawdziwi artyści w
swoim fachu.
Mikołaj
Przekonaj się, że leczenie próchnicy i odbudowa ubytków nie musi wiązać się ze stresem. Nasz wykwalifikowany zespół lekarzy bezustannie czuwa nad tym, byś nie odczuł najmniejszego bólu i opuścił nasz gabinet z pięknym i zdrowym uśmiechem!

Podczas pierwszej wizyty w naszym gabinecie pragniemy poznać twoje oczekiwania i obawy, związane z leczeniem. Dlatego każdą konsultację nasi lekarze rozpoczynają od spokojnej i przyjemnej rozmowy przy biurku, zamiast – jak w wielu innych gabinetach – na fotelu dentystycznym.
Przed oraz w trakcie zabiegu dokładnie informujemy pacjenta o naszych działaniach i wszystkich możliwościach leczenia. Dzięki temu możesz w pełni świadomie decydować o tym, jak przebiegnie cały proces.
Lek. Dent. Anna Świecimska- Pałyga
Wizyta u dentysty bez bólu i stresu!
Masz pytania lub chcesz umówić się na wizytę? Zadzwoń!
Doświadczony personel
Wybierając Stomatologię Pałyga, znajdziesz się w rękach certfikowanych specjalistów.
Przyjazna atmosfera
Zadbamy o twój komfort i dobre samopoczucie w trakcie wizyt.
Profesjonalna diagnostyka
Plan leczenia dopasujemy do twoich indywidualnych potrzeb.
Nowoczesny sprzęt
Korzystamy ze specjalistycznego sprzętu, podnoszącego jakość diagnostyki i leczenia.